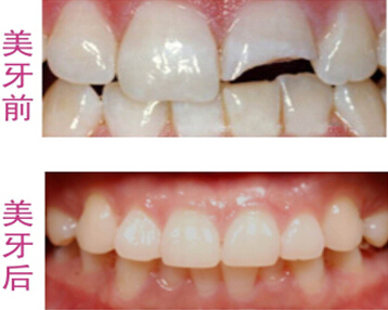
牙齿残根是非常影响美观的,对咀嚼功能也有很大影响,所以做牙齿修复是必须的,那么,牙齿残根的修复方法有哪些呢?我们来听听极光口腔专家的解答。

牙齿残根的修复方法
成都极光口腔专家指出,在口腔健康的情况下,能保留的牙根应尽量保留,但需要拔牙的情况也是非常多的。主要修复方法视情况而定,主要有以下三种:
1、如果只有一颗牙齿残根,特别是前牙残根在牙根健康状况比较好的情况下,可以将牙根进行治疗,并在治疗后在这个牙根的基础上进行瓷美刻美瓷冠修复。这种修复方法不仅舒适、美观,而且也无需对邻牙进行磨损,无任何伤害。
2、如果除了残根外还有牙齿缺失时,可以分开设计,即残根采用桩冠修复,其他缺牙再根据情况选择合适的修复方法;也可在残根表面做防龋治疗,再做瓷美刻美瓷冠覆盖残根,牙根就可以承担咬合力。
3、当全口多数牙齿缺失时,保留残根也有利于假牙的固位和稳定,提高咀嚼效率。当然,如果残根状况很差或者已经出现松动,则应立刻拔除,然后进行植牙,美式定制植牙的方法让人们更好的适应,不会有任何异物感和敏感症状。
以上就是一些牙齿残根的修复方法,如果您还有其他想知道的,可以问问我们的在线医生或者拨打极光美牙热线:028-87789778,我们将为您做出耐心解答。


